Docteur Reynald BIEVLIET Paris 11ème
Chirurgien-dentiste - Implants dentaires Parodontologie - Laser

92, Avenue de la République
75011 PARIS

Docteur Reynald BIEVLIET Paris 11ème
Chirurgien-dentiste - Implants dentaires Parodontologie - Laser

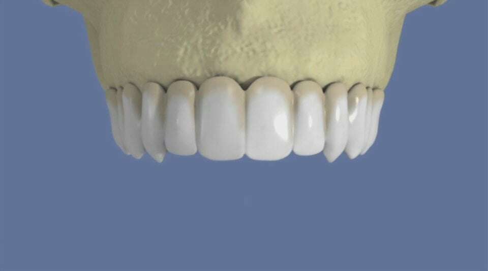
Maxillaire : bridge vissé sans fausse gencive


video-play-icon

Articles similaires

Création par Webdentiste

Connexion